
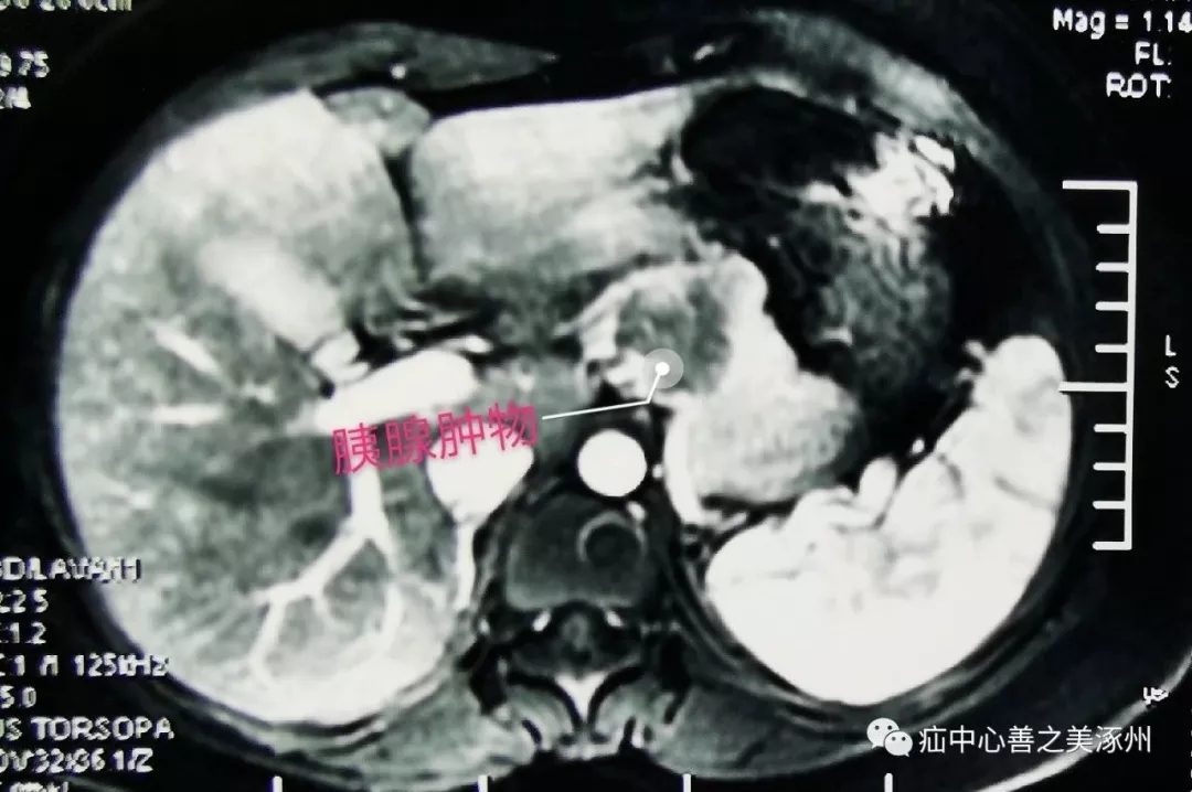
近日,我们普外二科成功为一名胰腺肿物患者行“全腹腔镜下保留脾脏的胰体尾切除术”。患者手术顺利。该项手术加快了我院在腹腔镜胰腺手术方面的进步。患者为青年女性,因体检发现胰腺肿物入院。增强CT提示胰体部一囊实性占位性病灶,病灶紧邻脾动脉和脾静脉,术前保定252医院CT诊断考虑胰腺假乳头状瘤可能性较大。
患者及其家属有较强的欲望希望行微创手术治疗,曾于省内多家三甲医院就诊,得到的答复为手术风险较大,需要切除脾脏。患者经过多方打听联系白金宝主任医师,前来我院就诊并住院治疗,经科室会诊讨论及充分的术前准备,
在麻醉科、手术室的配合下,在白金宝主任医师指导下,邓新生主任带领“宝之队'”团队通过腹腔镜探查发现肿瘤位于胰腺体尾部,其直径约3cm,囊实性,后方紧邻脾动、静脉,并且脾血管受压。腹腔镜下进行了精细的分离、在动静脉表面分离组织,就如在刀尖上跳舞。充分游离,直线切割闭合器离断胰腺,逐支结扎脾动静脉分支血管,保留脾脏,完整切除胰体尾,手术出血不足30毫升。以往这类手术都是采用传统开腹手术,创伤大,切口长,恢复慢。我院普外科近些年陆续开展了各类腔镜手术,为全腹腔镜下胰腺胰腺手术奠定了技术基础,它不仅成功地保留了脾动、静脉,且术中出血少。此次手术的完成,填补了我院该领域的空白。标志着我院腹腔镜微创高难度、高风险手术技术取得新的突破,再上新的台阶。
延伸阅读:
胰腺是腹膜后位器官,位置深在,显露困难,传统胰腺开腹手术常需较大切口才能充分显露术野。在腹腔镜下,术野直观清晰,胰体尾切除具有显露优势,而且腹腔镜手术创伤小、恢复快,大大缩短了病人的在院时间。胰体尾切除术包括保留脾脏的腹腔镜胰体尾切除术和不保留脾脏的胰体尾切除术。腹腔镜技术快速发展,腹腔镜胰体尾切除术已然成熟,特别是保留脾脏的腹腔镜胰体尾切除术在治疗胰腺远端良性肿瘤和低度恶性肿瘤已在各大医院逐渐得到广泛应用。对于胰腺远端的良性病变来讲,应该首选腹腔镜下保留脾脏的胰体尾切除术。
优点
1、创伤小、术后疼痛轻、术后麻醉药用量小、恢复快、住院时间短;
2、胰体尾切除术是目前开展最多、最成熟的胰腺手术,安全可行,总体并发症发生率可接受。
传统的胰腺外科手术切口大,腔镜下的手术充分体现了现代外科的发展趋势----切口小、创伤小、恢复快。医生努力学习掌握一项技术,患者就多一线健康生活的希望




声明:科普文章不作为具体疾病的诊断治疗依据,如涉及作品内容、版权和其它问题,请尽快与我们联系,我们将在第一时间删除内容!
